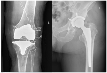
动静记者今天从贵州医科大学附属医院了解到,国家集采后的人工关节类骨科耗材目前已在该院手术中使用。髋关节平均价格从4万元下降至7000元左右,最高中选价为9920元,最低中选价为1788元;膝关节平均价格从5万元下降至5000元左右,最高中选价为6877元,最低中选价为2468元。
据了解,2021年底,国家医保将人工髋关节、人工膝关节纳入国家组织第二批高值医用耗材集采范围。集采后,人工髋关节、人工膝关节平均价格下降82%,患者负担大幅减轻。
人工关节置换手术是治疗因外伤、运动损伤、退变老化等原因导致的股骨头坏死、关节损伤、骨性关节炎等疾病的有效手段之一,能够极大程度恢复患者关节活动功能,提高患者生活质量。由于骨科耗材技术分类和组合复杂,因此集采前的人工关节价格较高,在骨科手术的医疗总费用中占比较大。
据悉,此次人工关节带量采购周期为2年,中选产品以含伴随服务费的中选价格为支付标准,不设首先自付比例,全额纳入医保支付。这也是继药品、冠脉支架后,人工关节类骨科耗材集采的成功开标。
据统计,贵州医科大学附属医院骨科自4月22日正式采用国家集采关节置换假体至今,已开展集采假体关节置换手术髋关节25台、膝关节39台。



— 热门评论 —