近日
黔南州人民医院
神经外科团队救治了
一位72岁破裂颅内动脉瘤患者
患者住院仅仅16天后
快速康复出院
家属为表达感谢
出院时
给神经外科送来锦旗一面
病例回顾
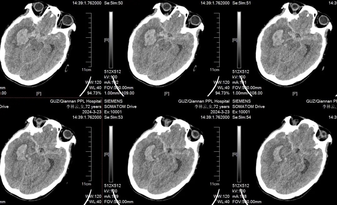
来自平塘县72岁的李姥姥,因突发剧烈头痛伴意识障碍7小时入院黔南州人民医院神经外科。行头颅CT平扫提示典型蛛网膜下腔出血,高度怀疑颅内动脉瘤破裂出血所致,脑血管成像(CTA)证实为右侧后交通微小动脉瘤破裂。情况紧急需马上手术干预治疗。
黔南州人民医院神经外科团队在血管内治疗方面经验丰富,对于年龄大于70岁以上的高龄患者可首选血管内治疗。在与患者家属沟通交流,征得患者家属同意后急诊行破裂颅内动脉瘤血管内治疗。
因为动脉瘤位置特殊,且动脉瘤微小,小于3mm,瘤颈宽,需要支架辅助弹簧圈栓塞这个微小破裂的颅内动脉瘤,一期行脑室外引流,目的是引流血性脑脊液降低颅内压,有利于老太太术后度过危险期。各就各位,神经外科团队有条不紊地做着各项术前准备,最终科室顺利完成了四级高难度手术,术后第二天李姥姥意识即有明显改善,由昏睡转为嗜睡。
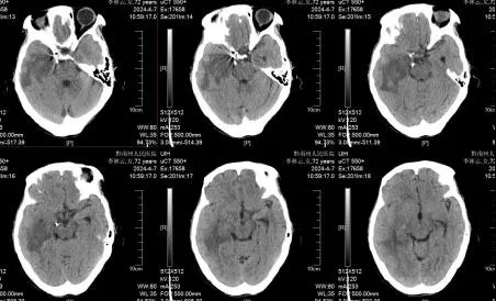
针对李姥姥术后恢复情况,神经外科团队联合临床营养科制定了快速康复的诊疗方案。因患者颅内动脉瘤破裂伴蛛网膜下腔出血且高龄、意识不清、长期卧床有肺部感染、消瘦、贫血等多个问题,医务人员给予纠正贫血、抗生素保护下进行俯卧位通气、量身定制营养餐、血性脑脊液置换避免发生脑积水、早期下床康复活动等快速康复治疗。李姥姥顺利度过危险期,无继发脑积水,术后7天拔除脑室引流管,术后13天复查头颅CT平扫提示蛛网膜下腔出血已吸收,意识完全清醒,无神经外科功能损害表现,16天就达到治愈出院标准。
术后13天复查头颅CT平扫提示蛛网膜下腔出血已吸收
2024年神经外科
已完成20余例
颅内动脉瘤血管内治疗
13余例显微镜下
神经内镜下切除脑肿瘤
垂体瘤等四级难度手术
均获得较好的社会反响
如您有需要
可到黔南州人民医院
2号楼7楼神经外科
咨询就诊





— 热门评论 —