孩子身心活泼
他们对于世界都充满了太多的好奇心
但是家长们千万不要掉以轻心
不管是在家中还是在外
总有一些地方看似平常却“危机四伏”
@全体家长,再忙也要看着孩子
近日
一名叫香香(化名)的小朋友
在自家走廊玩耍时,不慎从四楼坠落
摔伤时头部、口鼻流血,严重致昏迷
家人送往当地县医院进行抢救
由于病情极其危重,情况十分危急
医院立即将患儿转运到黔南州人民医院救治
时间就是生命
当患儿被转运至州人民医院时,生命垂危,血压、呼吸等基本生命征已不能维持。医院立即开通绿色通道,将患儿送至神经外科NSICU抢救。
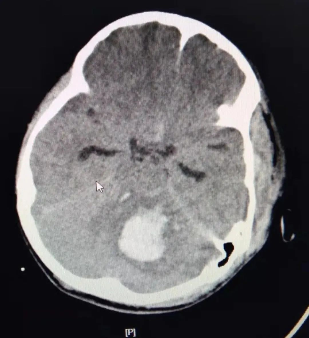
通过相关检查,初步诊断:其意识丧失、呼吸循环衰竭,处于休克状态。CT显示严重多发脑挫裂伤、小脑出血,合并严重脾破裂、重度肺挫伤,胸腔、腹腔大量积血,肾挫伤、骨盆骨折。病情十分严重,生命危在旦夕!
与死神赛跑
神外NSICU张国庆主任医师带领科室迅速开展抢救,给予快速有效的重症生命支持,同时向医院申请启动创伤中心MDT会诊,联合输血科、肝胆外科、泌尿外科、手术麻醉科多学科组成的团队针对该患儿救治进行讨论,并快速确定抢救方案。
大家分析了患儿的情况后,决定为其抗休克、急诊剖腹探查止血,2小时30分后由肝胆外科吴田方医生主刀的腹腔脾切除、肝脏修补、积血清除术高效顺利完成!
腹部手术远没有让这个小生命脱离危险!
术后发现由于小脑外伤性血肿进行性增多已达20毫升,严重脑水肿,脑干受压,随时有枕骨大孔疝发生和呼吸、心跳骤停的致命危险!
神外NSICU张国庆团队立即接棒进行微创手术清除脑内血肿,手术历经1小时后顺利完成。
经过7个昼夜的精心医护,患儿病情稳定,顺利度过了出血关、感染关,并发症关,转危为安。15天后患儿转至神经外科普通病房进行继续治疗,目前患儿治愈出院!
此次惊心动魄的抢救诊治过程,充分体现了黔南州人民医院对于急危重症优异的整体诊治水平,同时也倡议广大家长要切实履行好监护人职责,加强对儿童的监护,做好儿童安全防范,在生活中加强对孩子安全知识的教育,引导孩子树立自我保护意识。提升儿童安全意识和自护能力,陪伴孩子安全成长,尤其是对留守儿童的关注,关爱留守儿童,让社会的未来健康成长!
为我们的医务人员点赞!





— 热门评论 —